Signo De La Cuerda Tac
6 Full PDFs related to this paper. Academiaedu is a platform for academics to share research papers.

Paralisis Unilateral De Cuerda Vocal Seram
Manual de Fórmulas y tablas Matemáticas Spiegel.

Signo de la cuerda tac. Download Full PDF Package. The Subaru EJ204 was a 20-litre horizontally-opposed or boxer four-cylinder petrol engine with double overhead camshafts. A short summary of this paper.
The naturally aspirated E204 engine was initially introduced in the 2005 Subaru GDGG Impreza and 2006 Subaru BLBP Liberty as a more powerful alternative to the single overhead cam EJ202 engine but effectively replaced the EJ202 when the GEGH Impreza was released in.

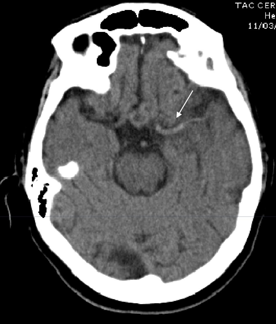
Pdf El Signo De La Arteria Cerebral Media Hiperdensa

Tratamiento Actual Del Ataque Cerebrovascular Isquemico Acv Agudo Pdf Descargar Libre

Pdf El Signo De La Arteria Cerebral Media Hiperdensa
Signo De La Arteria Cerebral Media Hiperdensa E Ictus Isquemico Con Transformacion Hemorragica

Signo De La Cuerda De Kantor En Paciente Con Brote De Enfermedad De Crohn

Eupo Neuro Hemorragias Y Trombosis Venosas
Semiologia Radiologica En Patologia Cerebral De Emergencia

Revision De La Trombosis Venosa Cerebral Diagnostico Tratamiento Y Evolucion Clinicoradiologica Semantic Scholar

Signo De La Cuerda De Kantor En Paciente Con Brote De Enfermedad De Crohn

Enfermedad De Moyamoya Cefalea Cronica Y Demencia Progresiva Asociadas A Infartos Cerebrales Multiples

Interneurona على تويتر Con Ese Trombo Signo Cuerda La P De Ayudar C Tpa Es 5 Me Preocupa Que Sea Fast Progressor Sin Colaterales Y Si Llevamos El Tac Sc A

Imagenes Del Ictus Isquemico En Tc Y Rm Radiologia 2 0

Pablo Amaya On Twitter Visita Los Posters Del Grupo Neurovascularfvl Fvlcali Icesi En Congresocolombianodeneurologia Acv En Presencia De Anticoagulacion Drjegomez Drip And Ship Con Angelcorredor Y Una Triparesia Aguda Mariacami2020 Stroke

Ecografia En El Manejo Del Paciente Critico Con Infeccion Por Sars Cov 2 Covid 19 Una Revision Narrativa Sciencedirect

Hallazgos Radiologicos De Una Pseudooclusion Carotidea Sintomatica Signo Del Guadiana Neurologia

Imagen Examen Flashcards Quizlet

Signos Tomograficos Tempranos Del Infarto Cerebral

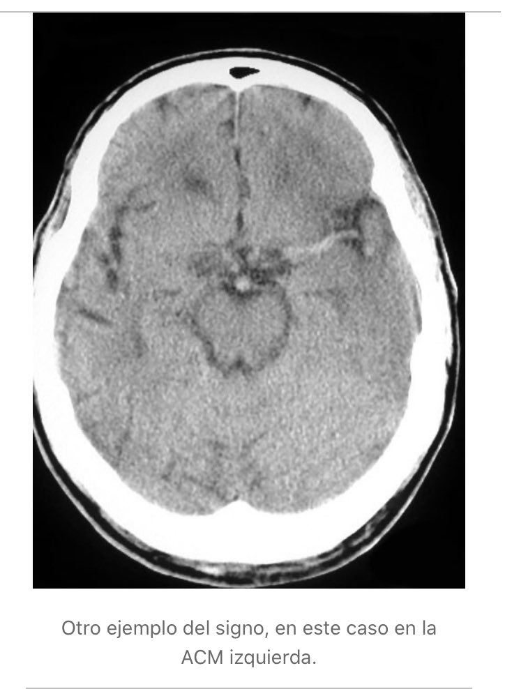
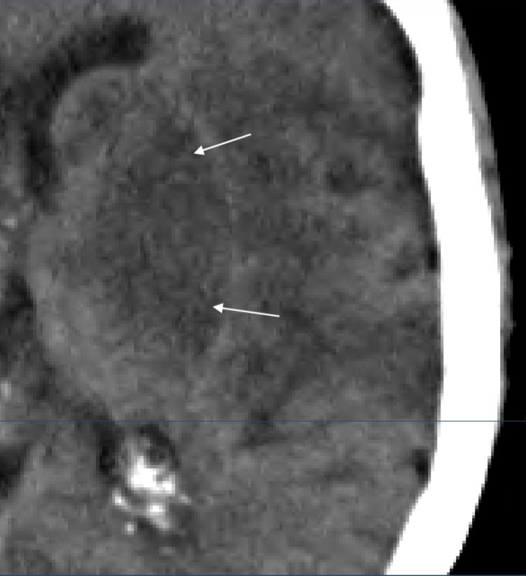
Se Observa El Signo De La Cuerda Dado Por La Hiperdensidad De La Download Scientific Diagram

Signos Tomograficos Tempranos Del Infarto Cerebral

Maria Lucia Brieva On Twitter Pero Se Pueden Presentar Los Signos De Infarto Temprano Como Perdida De Diferenciacion Entre Materia Gris Y Blanca En Los Ganglios Basales Borramiento Cortical De Surcos Hipoatenuacion
Colecciones De Fluido Tecnologia Medica Imagenologia Facebook
Prof Alfredo Conti Neurochirurgo Photos Facebook

Signos Tomograficos Precoces De Isquemia Cerebral En Territorio De Arteria Cerebral Media Pagina 3 De 4 Revista Electronica De Portales Medicos Com
Signo Del Triangulo Denso Plano Axial De Irm En Secuencia T1 Que Download Scientific Diagram

Tac Craneo Interpretacion Hallazgos Patologicos

Estudios Por Imagenes En Neurologia Dra Faviola Tavara Atoche Medico Radiologo Ppt Descargar

Hyperdense Mca Sign Brain Radiology Reference Article Radiopaedia Org

Se Observa El Signo De La Cuerda Dado Por La Hiperdensidad De La Download Scientific Diagram

Perihepatitis Asociada A Enfermedad Pelvica Inflamatoria Sindrome De Fitz Hugh Curtis Utilidad Diagnostica De La Tomografia Computarizada Gaceta Medica De Bilbao

Imagenes En Acv Medicina Practica
Trombosis Venosa Cerebral Lo Que Hay Que Saber

Pdf Signo De La Cuerda En Enfermedad Inflamatoria Intestinal

تويتر David Dominguez G على تويتر Borramiento De Los Surcos Y Cisuras Https T Co Py1ylah9wp

Multimedia En Medicina 34 Signo De La Cuerda Interconsulta On Line

Sindrome Hiperperfusion Cerebral Complicacion Infrecuente De La Endarterectomia Carotidea Angiologia

Hallazgos Radiologicos De Una Pseudooclusion Carotidea Sintomatica Signo Del Guadiana Topic Of Research Paper In Educational Sciences Download Scholarly Article Pdf And Read For Free On Cyberleninka Open Science Hub
تويتر David Dominguez G على تويتر Borramiento De Los Surcos Y Cisuras Https T Co Py1ylah9wp

Ppt Caso Clinico Politraumatizado Powerpoint Presentation Free Download Id 886670

Neuroimagen Multimodal En El Stroke Isquemico Agudo
Disfagia E Inestabilidad De La Marcha Tras Sobreesfuerzo Cervical Serau Sociedad Espanola De Radiologia De Urgencias

Signos Radiologicos Flashcards Quizlet
Diagnostico De Las Trombosis Venosas Cerebrales Neurowikia
Semiologia Radiologica En Patologia Cerebral De Emergencia

Ct Image Shows A Ill Defined Enhancing Infiltration Involving Upper Download Scientific Diagram

Hidatidosis Hepatica En Imagenologia

Infecciones De Cabeza Y Cuello En Urgencias Como Cuando Y Donde Semantic Scholar

Valor De Las Pruebas De Imagen En El Diagnostico Y Seguimiento De La Hidrocefalia Cronica Del Adulto Hca Semantic Scholar
Signo De La Arteria Cerebral Media Hiperdensa E Ictus Isquemico Con Transformacion Hemorragica
Semiologia Radiologica En Patologia Cerebral De Emergencia

Isolated Traumatic Chiasmal Syndrome With Hemifield Slide Phenomenon A Case Report

Trombosis De Los Senos Venosos Cerebrales

Trombosis Venosa Cerebral Aspectos Actuales Del Diagnostico Y Tratamiento Neurologia

Signos Radiologicos Flashcards Quizlet
Tras La Pista Del Signo Del Delta Vacio Serau Sociedad Espanola De Radiologia De Urgencias
Semiologia Radiologica En Patologia Cerebral De Emergencia

Interneurona على تويتر Con Ese Trombo Signo Cuerda La P De Ayudar C Tpa Es 5 Me Preocupa Que Sea Fast Progressor Sin Colaterales Y Si Llevamos El Tac Sc A

Internal Carotid Artery Dissection Radiology Reference Article Radiopaedia Org

Signo Delta O Del Triangulo Vacio Tc Con Contraste Donde Se Observa El Download Scientific Diagram
Tac Craneo Hallazgos Patolgicos Pdf Anatomia Animal Neurologia
Diagnostico De Las Trombosis Venosas Cerebrales Neurowikia

Signos Tomograficos Precoces De Isquemia Cerebral En Territorio De Arteria Cerebral Media Pagina 3 De 4 Revista Electronica De Portales Medicos Com
/231059231008/231059231008_gf5.png)
Actualizacion En Diagnostico Y Tratamiento Del Ataque Cerebrovascular Isquemico Agudo

Anticonvulsivantes En Paciente Con Vih En Tarv Ppt Descargar

Valor De Las Pruebas De Imagen En El Diagnostico Y Seguimiento De La Hidrocefalia Cronica Del Adulto Hca Semantic Scholar
Dr Jorge Cruz Medicina Interna Y Neurologia Home Facebook

Ale Risso Vazquez على تويتر Pcte70 Anos Plejia Fbcder Afasia Expresion 1 Tac 2 Rnm Encefalo Signo De La Cuerda Imagenesenuti Le Chujte Acv

Trombectomia Mecanica Aspirativa E Intra Arterial Primer Caso En Un Paciente Con Stroke Isquemico Agudo De Un Hospital Nacional
Hemicraniectomia Decompresiva En Un Paciente De 5 Anos Con Ataque Cerebrovascular Isquemico En El Territorio De La Arteria Cerebral Media Derecha Presentacion De Caso Clinico Y Revision De La Literatura
Signos Tomograficos De Acv Dr William Guerrero Facebook

Figure 12 From Alteraciones Del Desarrollo Cerebral Diagnostico En El Adulto Semantic Scholar

Figure 15 From Hallazgos De Imagen Mediante Resonancia Magnetica Cerebral En Pacientes Recien Nacidos Despues De Cirugia Cardiaca Semantic Scholar

Interneurona على تويتر Con Ese Trombo Signo Cuerda La P De Ayudar C Tpa Es 5 Me Preocupa Que Sea Fast Progressor Sin Colaterales Y Si Llevamos El Tac Sc A

Ictus Xabier Vzquez Albisu R 2 Medicina Familiar

Ppt Abscesos En El Snc En La Edad Pediatrica Powerpoint Presentation Id 1070016

Multimedia En Medicina 34 Signo De La Cuerda Interconsulta On Line

Revision De La Trombosis Venosa Cerebral Diagnostico Tratamiento Y Evolucion Clinicoradiologica Semantic Scholar
















